Smiles

Beauty begins with a single smile

 

dr-osama-alkhatib-1

Dr. Osama Alkhatib

Holds the Qatari Ministry of Health Excellence certification in dental laser and dental implantation

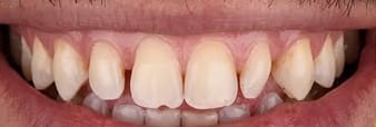
osama-b-1
Before
osama-a
After

 

dr-reham-mamdouh-1

Dr. Reham Mamdouh

Has an experience of more than 15 years in dentistry field and veneers

reham-b
Before
reham-a
After

 

dr-nasr-nasr-1

Dr. Nasr Mahmoud Nasr

Master’s degree in prosthodontics (MDSc ) from the University of Dundee in the united kingdom

nasr-b
Before
nasr-a
After